
Ronald Torrance II, DO FAOASM, is a non-surgical orthopedic physician specializing in Sports Medicine at Regenexx at New Regeneration Orthopedics. Dr Torrance’s clinical practice focuses on Interventional Orthobiologics, offering Regenexx procedures, highly specific, precise image-guided injection procedures that use the healing agents from the patient’s own body to promote the body’s natural healing ability.
Dr. Torrance also has extensive experience in Family Medicine and Urgent Care Medicine.
Education and Credentials
● Fellowed in Sports Medicine through American Osteopathic Academy of Sports Medicine (AOASM). Training completed with Inspira Health Network in Vineland, New Jersey
● Family Medicine Residency in the Greater Philadelphia Area
● Doctorate of Osteopathic Medicine from Lake Erie College, Florida
● Double Bachelor of Science Degree in Biology and Chemistry from Limestone College, South Carolina
Accomplishments
Dr. Torrance has been published in peer reviewed journals and is also often invited to speak at medical conferences. In 2018, he co-authored Exercise 2.0 for Regenexx. He has also completed formal continuing education in Functional Medicine through the California Center for Functional Medicine.
Dr. Torrance has been invited to work on the medical staff of the following organizations:
● 2016 CrossFit Regionals and 2016 CrossFit Games
● USA Volleyball – Florida Region Supervising Physician 2020-2021 Season
● All Elite Wrestling
● Mixed Martial Arts Ringside Physician
● TB12 Sports Supervision Physician
Personal Interests
Alongside his medical career, Dr. Torrance enjoys many athletic pursuits. He has achieved a ranking as a semi-professional beach volleyball player and trains as a competitive CrossFit athlete. Dr. Torrance enjoys staying physically fit and spending time with his wife and two children.
Watch: Who is a candidate for Regenexx Bone Marrow Concentrate therapy? (WFLA Interview with Dr. Torrance)
Latest Posts By Ron Torrance II, DO, FAOASM

Peptides, Performance, and the Regulatory Conversation: What Patients Should Know
If you follow sports medicine, recovery science, or even popular health podcasts, you’ve probably heard increasing conversation around peptides. Recently, peptides made headlines again after a discussion on the The

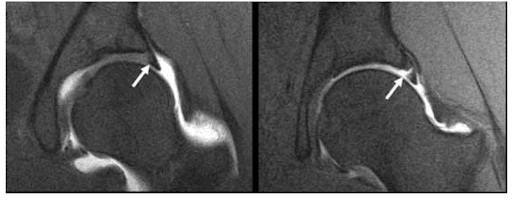
Do I Need an MRI with Contrast for a Hip Labral Tear?
Written by Tanner Besse, OMS IV LECOM, reviewed by Dr. Torrance If your doctor orders an MRI for hip pain, you might be told you need “contrast dye” injected into

Neck Pain Management: Exploring Cervicalgia Treatment Options
Neck pain, medically known as cervicalgia, is a frequent complaint in primary care and one of the leading causes of years lived with disability in the United States.[1] Cervicalgia can

How to Bounce Back Stronger After a Sports Injury
Explore evidence-based recovery strategies for sports injuries, from rest to rehabilitation and prevention. Sports injuries can range from minor sprains to more serious issues like tendon tears, fractures, or joint

The Rise and Reality of Physician-Led Practices in Sports Medicine
Collaborating guest author: Shounuck Patel, DO In the evolving landscape of sports medicine, “physician-led” practices have become a buzzword, promising high-quality, expert-driven care for athletes and active individuals. As a

Understanding Cervical Lordosis Treatment
Cervical lordosis refers to the natural curve of the neck, which plays a key role in maintaining proper posture and supporting head movement. However, when this curve becomes exaggerated or
